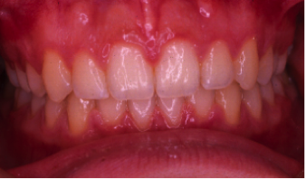
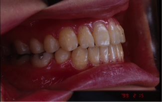
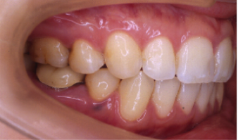
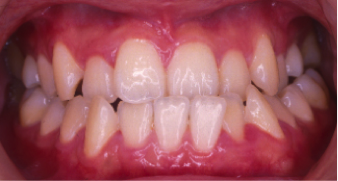
治療実績

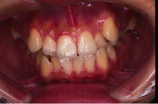
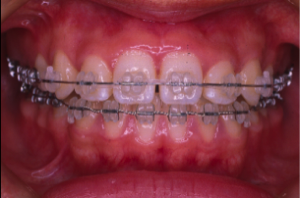
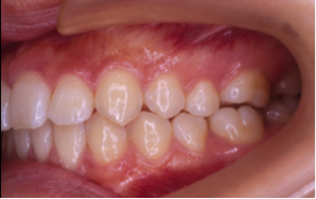
開咬(かいこう)

患者さんプロフィール

24歳/女性

悩み:前歯が噛めない

奥歯は噛み合っていても上と下の歯に隙間が空いてしまう状態

治療期間:約3年

治療前

治療後

ドクターからのコメント

前歯で噛む事が出来ないとの悩みから来院された患者様で、開咬症例ではあるのですが突出傾向があったため、小臼歯4本抜歯をする治療方針で約三年ほどかかって治療いたしました。治療後にはきちんとものが噛めるようになり、約三年間の頑張りが報われましたと喜んで頂けました。

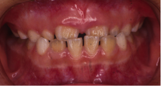
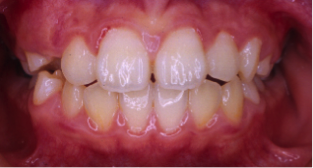
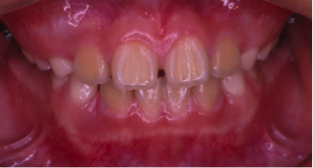
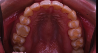
叢生(そうせい)

患者さんプロフィール

20歳/女性

悩み:歯がデコボコ

八重歯が押し出されて歯がでこぼこに並んでいる状態

治療期間:約2年4ヶ月

治療前

治療後

ドクターからのコメント

奥の歯が倒れて狭くなっている台形の歯列を広げて歯を起こす治療で、奥の歯が見えるようになるUの字型に治しました。
上の歯下の歯、それぞれ2本づつ第一小臼歯を抜歯した治療となりました。
歯を見せて笑えるようになり喜んでもらいました。

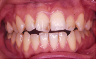
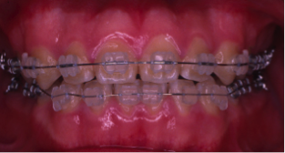
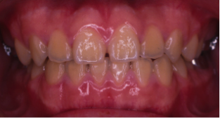
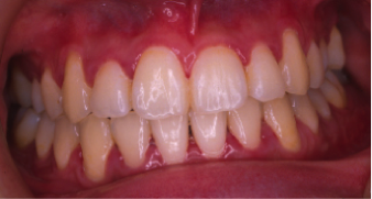
過蓋咬合(かがいこうごう)※ 非抜歯

患者さんプロフィール

20歳/女性

悩み:噛み合わせが深い

下の前歯が上の歯茎に食い込んでいる状態

治療期間:約2年

治療前

治療後

ドクターからのコメント

深い噛み合せを改善する治療が必要になりました。
先に深い噛み合せを上げないと矯正装置がつかないので、噛み合せの深さを改善する治療から行なう矯正治療となりました。

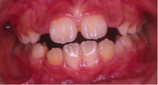
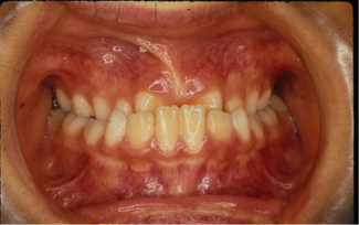
外科矯正治療(はんたいこうごう)

患者さんプロフィール

21歳/女性

悩み:顎の曲がりと下顎のでっぱり

下の顎が変形し、上の歯が下の歯より前に出ている状態

治療期間:約2年

治療前

治療後

ドクターからのコメント

矯正治療と外科手術を併用して行った患者さんです。
「早い治療計画」での依頼のため、歯を抜かずに矯正治療を10ヶ月行い手術という事になりました。
その後6ヶ月の術後矯正にて終了となりました。
手術も含めて早期治療が目的の患者さんでしたので満足されてよかったです。

子供の下顎前突(かがくぜんとつ)

患者さんプロフィール

7歳/女の子

悩み:前歯が反対に噛んでいる

下の歯が上の歯より前に出ている状態

治療期間:約8年(成長期を追いながらの治療のため経過観察が必要)

治療前

治療後

ドクターからのコメント
上顎が小さくて、下顎が大きい、反対咬合と交差咬合の状態で来院されました。
成長期を追いながらの矯正治療。幼少期から反対咬合なのでこのままでは将来的には受け口なる可能性が高い。
元々骨格が大きい患者さんで、上の顎が小さく下の顎が大きいことで反対咬合だったため、成長過程を追いながら一期治療を終了しました。
その後、歯並び・噛み合せを二期治療(抜歯)で仕上げをし、治療は終了となりました。

子供の開咬(かいこう)非抜歯

患者さんプロフィール

9歳/女の子

悩み:前歯の上下のすき間が気になる

拇指吸引癖(指しゃぶり)、舌突出癖(舌が前に出ている)、吸唇癖(唇を吸う)、咬唇癖(唇を噛む)により上下の歯の間に隙間(空隙)ができている

治療期間:約2年(成長期を追いながらの治療のため経過観察が必要)

治療前

治療後

ドクターからのコメント

前歯が噛めてないことでご両親が心配になり来院されました。
この開咬は指しゃぶりと舌が前に出る事によって、上下の間に隙間が出来ているので、クリブプレートという矯正装置を入れ、経過観察を行うことで自然治癒で直る治療を選択しました。経過観察のチェックのみで前歯部の開咬の治療が終了した症例です。

子供の反対咬合(はんたいこうごう)

患者さんプロフィール

7歳/男の子

悩み:上の歯と下の歯が逆

下の歯又は下の顎が上の歯又は上の顎より前方に出ている状態

治療期間:約5年(成長期を追いながらの治療のため経過観察が必要)

治療前

一期治療後

二期治療

二期治療中

治療後

ドクターからのコメント

半年ほどで前歯部の反対咬合を裏側矯正(3Dリンガルアーチ)で改善し、一旦装置を外しました。
その後、歯の生え変わりが進んで叢生(でこぼこ)がでてきたので、再度裏側矯正(3Dリンガルアーチ)の装置で咬合誘導していきながら一期治療が終わりました。
歯並び・噛み合せを二期治療(非抜歯)で仕上げをし治療は終了です。

子供の叢生(そうせい)

患者さんプロフィール

9歳/女の子

悩み:前歯がデコボコ

前歯部の噛み合わせがでこぼこ(叢生)に咬んでいる状態

治療期間:約6年(経過観察あり)

治療前(左)

治療前(正面)

治療前(右)

一期治療後

二期治療開始

二期治療中(左)

二期治療中(正面)

二期治療中(右)


二期治療後(左)

二期治療後(正面)

二期治療後(右)

ドクターからのコメント

叢生(デコボコ)の状態で、大人の歯と子供の歯が混ざっている期間に来院されました。
裏側矯正(3Dリンガルアーチ)で噛み合せを上げて、叢生(デコボコ)の治療をし歯の生え変わりをみていきます。歯が完全に生え変わった状態で一期治療を終了しました。
二期治療(非抜歯)で、歯の隙間を治す矯正治療を行い治療は終了です。

松本矯正歯科クリニックは四ッ谷駅前の矯正歯科専門クリニックです


平日:11:00~20:00/土曜・日曜:10:30~19:00

診療時間
11:00-13:30
△※
15:00-20:00
△※

△:土曜・日曜(10:30~13:30、15:00~19:00)
※:第2、第3日曜診療
休診日:月曜・木曜・祝祭